Real Results. Real Smiles.

Our Toorak dentists bring together years of experience and advanced cosmetic solutions to create smiles that are as healthy as they are beautiful. We're here to help you discover what's possible for yours.

Front tooth gap corrected with Porcelain Veneers

Discoloured tooth corrected with Porcelain Veneer.

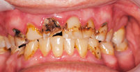
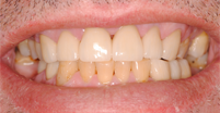
Multiple dental issues restored with a Full Mouth Reconstruction

Multiple gaps closed using Porcelain Veneers

Dark triangles fixed with Porcelain Veneers

Uneven teeth reshaped with Porcelain Veneers

Disclaimer

All clinical photographs featured on this website are of actual patients treated by our practitioners. Each case is unique, and treatment outcomes vary depending on individual circumstances. These images are presented for illustrative purposes only and are not a guarantee, assurance, or prediction of the results achievable for any particular patient. Individual results may differ.

Before proceeding with any dental treatment, you should seek an independent opinion from an appropriately qualified health practitioner. Photographs have been used with patient consent.

Ready to schedule your appointment?

Book online directly, or give us a call and we will manage the process for you.