Gentle, Professional Wisdom Teeth Removal in Toorak
Wisdom teeth are the last molars, or “third molars” that develop on each side of the jaw. They usually emerge in the back of the mouth between the ages of 16-20.
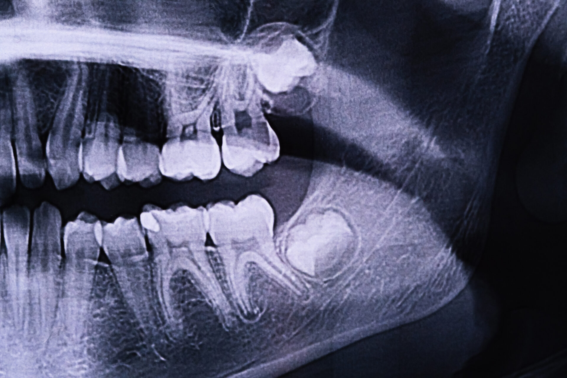
Wisdom teeth are a valuable asset to the mouth when they are healthy and properly positioned. Often, however, they cause problems and require removal. When the jaw isn’t large enough to accommodate wisdom teeth, they can become impacted. Impacted wisdom teeth may grow sideways, emerge only part way through the gum or remain trapped beneath the gum and bone.
At Toorak Village Dental Care, we provide gentle, precise wisdom teeth removal in Toorak, helping you find relief and prevent future dental problems.
OPENING HOURS
Monday 8:00am – 5:00pm
Tuesday 8:00am – 5:00pm
Wednesday 8:00am – 5:00pm
Thursday 8:00am – 5:00pm
Friday 8:00am – 4:00pm
Sat – Sun closed
PARKING
Convenient on-street parking
Signs You May Need Your Wisdom Teeth Removed
Wisdom teeth don’t always cause symptoms, but common warning signs include: pain or swelling at the back of the mouth, red, swollen, or bleeding gums around the molars, jaw stiffness or difficulty opening the mouth, headaches or earaches, bad breath or an unpleasant taste, crowding or shifting of other teeth, and recurring infections near the molar area. If you notice any of these symptoms, book a consultation at Toorak Village Dental Care. Our dentists will examine your wisdom teeth with the help of digital X-rays and determine the best course of action.
Why Do I Need to Get Them Removed?
There are several reasons your dentist may recommend wisdom teeth extraction: impacted teeth that can’t erupt properly, infection or cysts around the teeth, gum disease or decay due to hard-to-reach positioning, crowding that affects alignment or orthodontic treatment, and preventative care to avoid future complications. Even if your wisdom teeth aren’t causing pain now, removing them early (especially during your late teens or early twenties) is often easier and leads to a quicker recovery.

Our Wisdom Teeth Removal Process
Your comfort and safety are our priority. Here’s what to expect during your wisdom teeth extraction in Toorak:
1. Comprehensive Assessment
Our Toorak dentist starts with a detailed examination and X-rays to evaluate the position and development of your wisdom teeth. This helps us decide whether extraction is needed and how to approach it.
2. Tailored Treatment Plan
If removal is necessary, we’ll explain the procedure clearly, answer all your questions, and plan the treatment based on your specific case — whether a simple extraction or a surgical one.
3. Gentle Extraction
Wisdom teeth removal is performed under local anaesthesia to keep you comfortable. For more complex cases, we may refer you to an oral surgeon. We use precise, minimally invasive techniques to reduce trauma and promote faster healing.
4. Aftercare Support
After the tooth (or teeth) is removed, the patient is given gauze and bites down softly for a recommended amount of time to limit any bleeding. Some pain and swelling may occur, but it will usually go away after a few days.
Does the Removal Hurt?
Thanks to modern dental techniques and effective anaesthesia, the extraction is typically low in pain. You may feel pressure during the procedure. Afterward, mild swelling, tenderness, or discomfort is normal and can be managed with prescribed or over-the-counter pain relief. These are all normal. If you follow the aftercare guidelines — including rest, soft foods, and avoiding smoking or straws — your recovery should be smooth and uneventful.
Wisdom Teeth Removal Cost in Toorak
The cost of extraction varies depending on the number of teeth being removed, whether the teeth are impacted, the complexity of the procedure, and anaesthesia or sedation options. At Toorak Village Dental Care, we offer transparent pricing, HICAPS for on-the-spot health fund claims, and flexible payment options. We’ll always provide a detailed quote before starting treatment.
Why Choose Toorak Village Dental Care?
- Experienced, caring dental professionals
- Calm, comfortable environment with gentle techniques
- Conveniently located in the heart of Toorak
- Clear communication and tailored treatment plans
- Health fund rebates and interest-free payment options available
Book Your Wisdom Teeth Consultation Today
If you’re feeling discomfort or want to avoid future problems, don’t delay. Early assessment is the key to preventing pain and protecting your smile. Call us or book online today!
OPENING HOURS
Monday 8:00am – 5:00pm
Tuesday 8:00am – 5:00pm
Wednesday 8:00am – 5:00pm
Thursday 8:00am – 5:00pm
Friday 8:00am – 4:00pm
Sat – Sun closed
PARKING
Convenient on-street parking
Schedule an Appointment
Make sure your teeth are properly cared for by visiting your dentist regularly. Schedule an appointment today by giving us a call.